티스토리 뷰
목차
뇌졸중은 '시간이 생명'인 질환입니다. 증상 발생 후 단 1분, 200만 개의 뇌세포가 손상된다는 사실 알고 계셨나요? 늦으면 후유증, 빠르면 생존과 회복입니다. 골든타임 안에 병원에 도착하기 위한 응급 대응법, 지금부터 단계별로 알려드립니다.
이 글은 뇌졸중 환자의 가족, 보호자, 일반인이 반드시 알아야 할 응급 프로토콜을 중심으로 정리했습니다. '이웃 손발 시선'부터 119 신고 요령까지, 뇌졸중 대응의 모든 것을 지금 확인해보세요.



뇌졸중이란? 증상과 위험
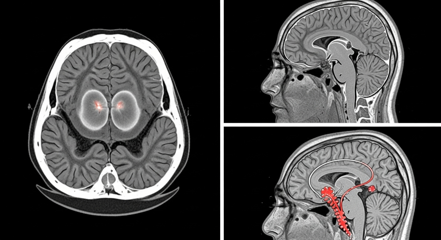
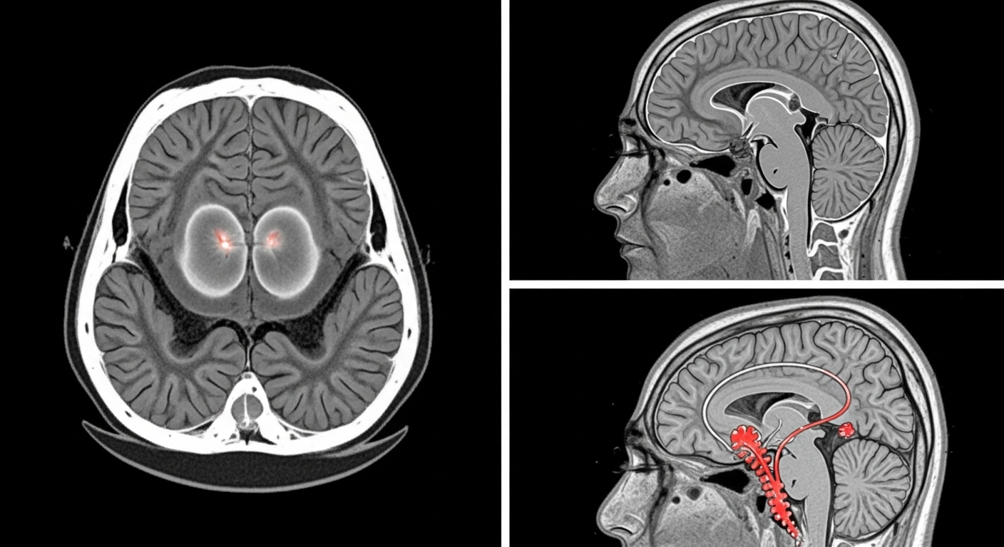
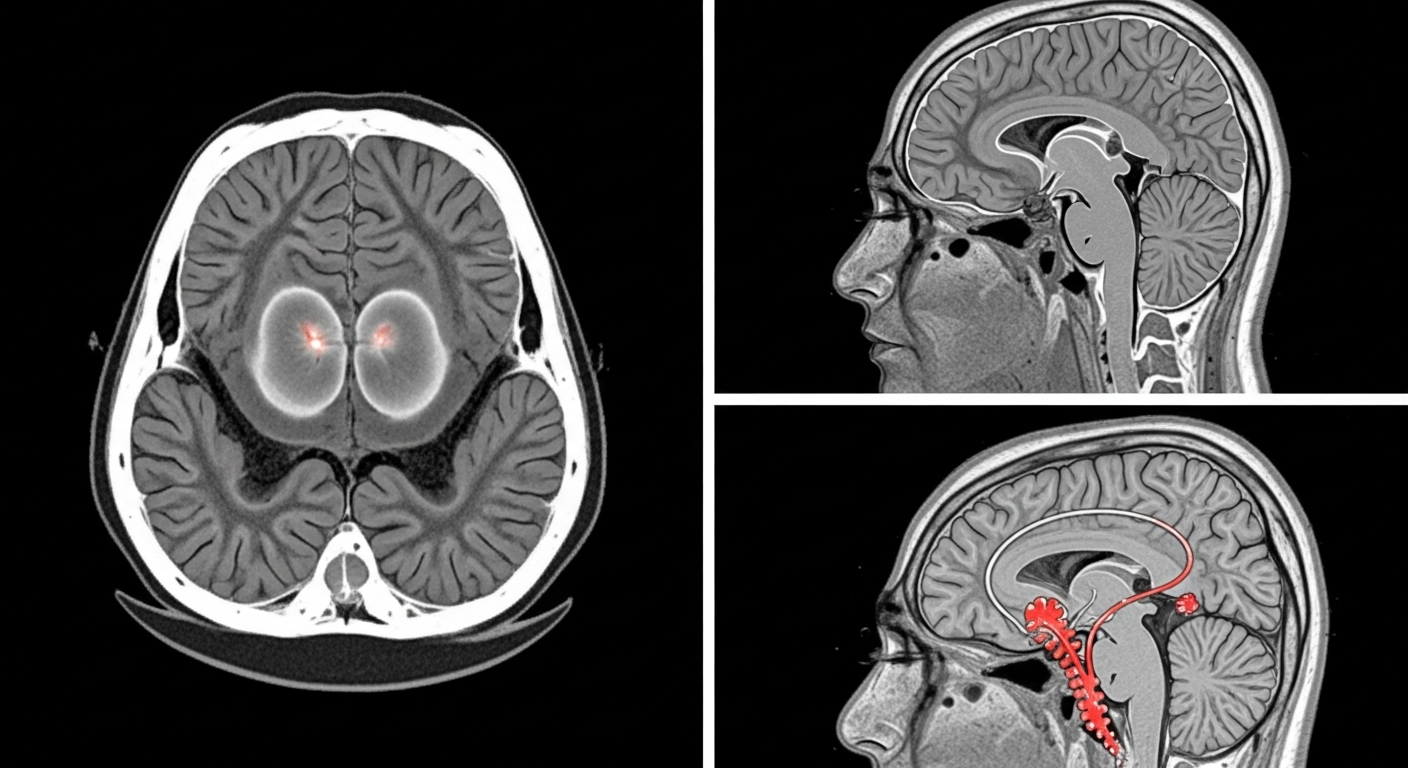
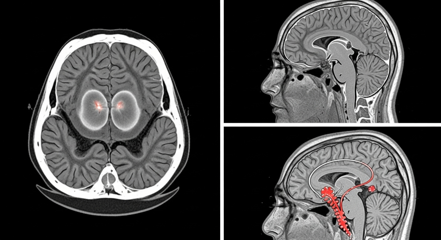
뇌졸중은 뇌혈관이 갑자기 막히거나 터지면서 뇌세포에 혈류 공급이 차단되는 응급 질환입니다.
크게 허혈성 뇌졸중(뇌경색)과 출혈성 뇌졸중(뇌출혈)로 나뉘며, 발생 시 빠른 대처가 생존과 회복을 좌우합니다.
뇌세포 1분당 200만 개 손상
뇌졸중이 무서운 이유는 손상이 '초 단위'로 진행된다는 점입니다.
1분마다 약 200만 개의 뇌세포가 죽는 것으로 알려져 있어, 증상 인지 후 지체는 곧 치명적 결과로 이어질 수 있습니다.
골든타임 기준은?
치료 가능 시간 창은 매우 좁습니다.
- 정맥 혈전용해술(IV tPA): 증상 발생 후 4.5시간 이내
- 동맥 내 혈전제거술(EVT): 일반적으로 6시간 이내, 최대 24시간까지 가능
이 시간 안에 치료를 받지 못하면 재관류 치료의 기회를 잃고, 회복 가능성도 크게 떨어집니다.
'이웃 손발 시선' 증상 체크리스트
다음은 대한뇌졸중학회가 제안한 증상 인지 구호입니다.
| 항목 | 확인 방법 | 의심 증상 |
|---|---|---|
| 이웃 (얼굴) | "이~" 하며 웃기 | 한쪽 입꼬리 처짐 |
| 손 (팔) | 팔 앞으로 뻗기 | 한쪽 팔이 내려옴 |
| 발 (말) | 간단한 말 시키기 | 말이 어눌하거나 안 나옴 |
| 시선 (눈) | 시야 및 눈동자 관찰 | 한쪽으로 시선 쏠림, 복시 |
즉시 해야 할 응급 대처 3단계
1. 즉시 119 신고: 뇌졸중 의심 시 집에서 지체 없이 구급차 호출
2. '뇌졸중센터' 요청: 구급대원에게 “가장 가까운 뇌졸중 센터로” 요청
3. 두 가지 정보 확인: - 증상 시작 시각 (치료 가능 시간 판단용)
- 복용 중인 약물, 특히 항혈전제 확인
절대 하면 안 되는 응급처치
뇌졸중 환자에게 다음 행동은 절대 금지되어야 합니다.
- 물, 음식, 약 먹이기 ❌ (연하곤란 → 흡인성 폐렴 위험)
- 손 따기, 주무르기 등 민간요법 ❌ (통증 유발 → 혈압 상승 → 손상 악화)
- ‘좀 지켜보자’는 판단 ❌ (골든타임 상실)
치료는 빠를수록 좋다
뇌졸중의 치료법에는 혈전 용해제(IV tPA), 동맥 내 혈전 제거술(EVT)이 있으며, 이들 치료는 시간 내 시작해야만 효과를 볼 수 있습니다.
- IV tPA는 4.5시간 이내
- EVT는 영상 소견 따라 최대 24시간 이내까지 가능
치료가 성공하면 독립적인 생활 가능성이 2배 이상 증가합니다.
Q&A
Q1. 손 떨림이나 오래된 말 더듬도 뇌졸중일 수 있나요?
A. 아닙니다. 뇌졸중은 반드시 ‘갑자기’ 발생한 증상이 특징입니다.
Q2. 집에서 팔다리를 주물러주면 도움이 되나요?
A. 오히려 혈압을 상승시켜 상태를 악화시킬 수 있습니다. 절대 하지 마세요.
Q3. 환자가 말을 못 하고 있는 중입니다. 뭘 먼저 해야 하나요?
A. 즉시 119 신고 후, '뇌졸중 센터'로 이송해달라고 요청하세요.
Q4. 구급차 오기 전, 보호자는 뭘 해야 하나요?
A. 증상 시작 시각과 복용 중 약물(특히 항혈전제) 유무를 확인해두세요.
Q5. 일반 병원도 괜찮지 않나요?
A. 아닙니다. 뇌졸중 응급 치료가 가능한 '인증된 뇌졸중 센터'로 가야 치료 지연을 막을 수 있습니다.